La Magia de la Feldespática

Transforma Tu Sonrisa con Carillas Dentales: La Magia de la Feldespática
¿Alguna vez has soñado con una sonrisa deslumbrante que refleje lo mejor de ti? Las carillas dentales pueden hacer ese sueño realidad. Ya sea para corregir dientes descoloridos, dañados o desalineados, las carillas ofrecen una solución rápida y efectiva para lograr la sonrisa perfecta. Hoy te hablaremos de las carillas de feldespática, una opción de alta calidad que está revolucionando el mundo de la odontología estética.
¿Qué son las carillas de feldespática?
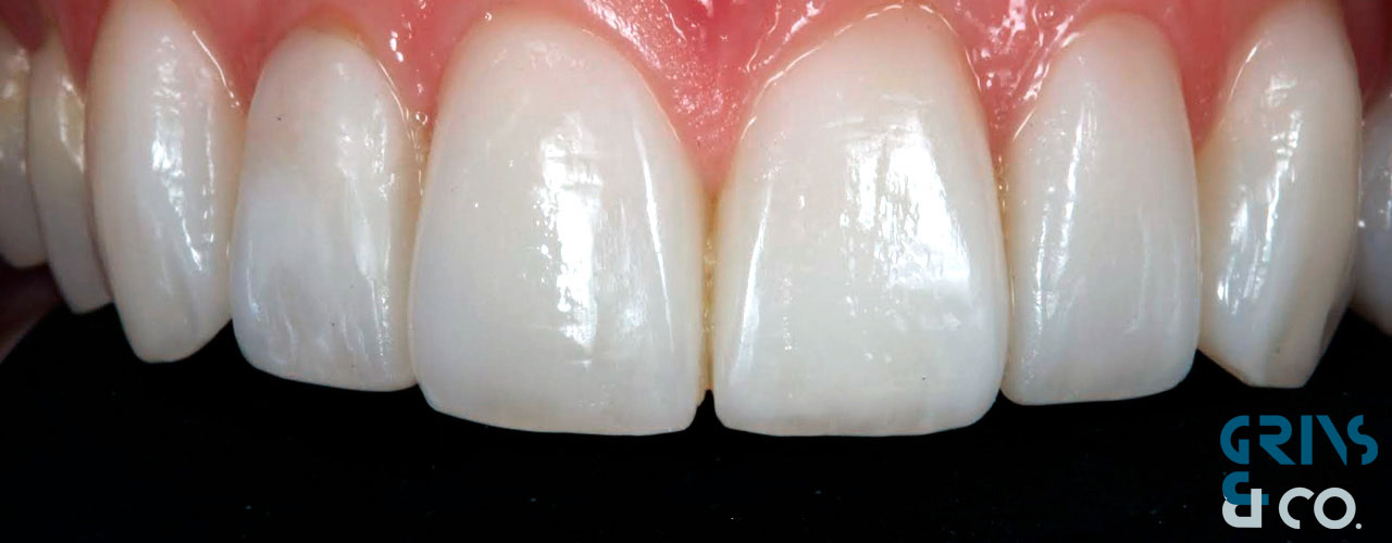
Las carillas de feldespática son finas láminas de porcelana que se adhieren a la superficie frontal de los dientes. Este material se destaca por su capacidad para imitar el brillo y la translucidez del esmalte dental, proporcionando resultados estéticos excepcionales.
Ventajas de las carillas de feldespática:
1. Apariencia Natural: La porcelana feldespática reproduce fielmente las propiedades ópticas del esmalte dental, lo que resulta en una sonrisa increíblemente natural.
2. Durabilidad: A pesar de ser delgadas, estas carillas son resistentes y pueden durar muchos años con el cuidado adecuado.
3. Resistencia a Manchas: A diferencia de los dientes naturales, las carillas de feldespática no se manchan fácilmente con alimentos y bebidas como café, té o vino.
4. Personalización: Cada carilla se fabrica a medida para adaptarse perfectamente a la forma, tamaño y color de tus dientes, garantizando un resultado único y armonioso.
Antes y Después:
¡Mira estas increíbles transformaciones!
Proceso de colocación:
1. Consulta Inicial:Se realiza una evaluación completa de tu salud dental y se discuten tus objetivos estéticos.
2. Ésta será la cita más importante. Realizaremos un “Mock-up” de tu sonrisa. Será una simulación temporal de tus futuras carillas dentales, creando una versión preliminar de las carillas directamente sobre tus dientes naturales. Este paso permite visualizar y probar el resultado final antes de realizar cualquier cambio permanente.

3. Preparación del Diente:Se remueve una pequeña cantidad de esmalte dental para asegurar un ajuste perfecto de la carilla.

4. Impresión Dental: Se toma una impresión de tus dientes para crear carillas personalizadas en el laboratorio dental.
5. Colocación:Una vez listas, las carillas se prueban y ajustan antes de ser cementadas de manera permanente en los dientes.

Feldespática vs. Disilicato de Litio:
Es importante saber en qué casos se utiliza cada material para obtener los mejores resultados:
• Feldespática: Ideal para aquellos que buscan la máxima estética. Este material es excelente para carillas en los dientes frontales debido a su alta translucidez y apariencia natural.
• Disilicato de Litio: Este material es más resistente que la feldespática y se utiliza cuando se necesita una mayor durabilidad. Es perfecto para carillas, coronas y puentes en zonas donde se requiere mayor fuerza, como los molares y premolares.
Cuidados y mantenimiento:
Las carillas de feldespática requieren el mismo cuidado que tus dientes naturales. Esto incluye una buena higiene oral, visitas regulares al dentista y evitar hábitos que puedan dañar las carillas, como morder objetos duros.
Conclusión:
Las carillas dentales de feldespática son una excelente opción para quienes buscan una sonrisa perfecta y natural. Con su apariencia superior y durabilidad, no es de extrañar que sean la elección preferida de muchos profesionales y pacientes.
¡Agenda tu consulta con nosotros y transforma tu sonrisa con las carillas de feldespática!